很多朋友问我窝沟封闭需不需要做,在之前必须让大家了解一下什么是牙齿的窝沟。
家长可以让孩子张嘴,看他们的后面个子大大的磨牙的样子,嚼东西的那一面上有三四个突出的牙尖,在牙尖凹凸的中间处有许多沟,而这些沟就是窝沟,这个和我们熟悉的山峰中间的峡谷类似。
什么是牙齿的窝沟


窝沟是牙齿发育过程中形成的,主要是为了可以磨碎食物。如果这些窝沟非常深,食物残渣和细菌就容易在此存积,即使认真刷牙、漱口也不易完全清除,时间长了就会逐渐损坏牙齿组织,产生蛀牙。
据统计,儿童龋齿发病率高达80-90%,其中86%与窝沟有关。

什么是窝沟封闭

窝沟封闭是预防儿童蛀牙的有效方法之一,它是用一种对人体无害的牙科高分子复合树脂材料涂在牙齿深窝沟内,材料硬固后,可在窝沟中形成一层保护性屏障,隔绝细菌对牙齿的腐蚀,从而预防蛀牙。
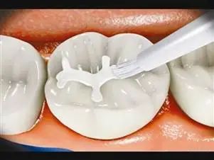
窝沟封闭怎么做
窝沟封闭包含六个步骤:用软牙刷把牙面清洗干净,在牙面上涂布酸蚀剂,使窝沟表面呈微小细孔,以便封闭剂向窝沟内渗入,达到封闭作用,然后彻底吹干,以免影响树脂的固化和与牙表面的粘接强度。最后在窝沟表面涂抹封闭剂后,用医用灯在口腔内照10-20秒。
做完4颗第一恒磨牙一般只需要20分钟左右,只需要孩子张嘴配合医生操作即可。因为不需要磨除牙体组织,所以没有任何痛苦。

什么时候做窝沟封闭
只要有窝沟裂隙比较深的牙齿都可以做窝沟封闭,而窝沟裂隙深的牙齿通常是磨牙。
3-4岁孩子乳磨牙萌出、6岁时六龄牙也长出来了、9-13岁其他恒磨牙也陆续萌出:这几个时间段都应及时进行窝沟封闭加以保护。

蛀牙了还可以做窝沟封闭
如果龋坏的部位刚好就在窝沟处,已经不存在正常的窝沟形态了,那自然不必再做窝沟封闭了;如果蛀牙的部位不在窝沟处,或者在一部分窝沟处,那么没有蛀牙的部分就可以做窝沟封闭。

做窝沟封闭后注意什么
完成封闭的牙还应定期(3个月、半年或一年)复查,观察封闭剂保留情况,脱落时应重做封闭,则封闭剂保留率和龋齿降低率都会得以提高。
很多宝妈会担心,如果不小心脱落了怎么办,其实不必担心。因为这种材料极为安全,原理只是为了给牙齿套上一层保护膜而已,所以小家伙就算将其给不小心吞咽了下去,也是安全的。

好了,关于窝沟封闭是什么的问题我们就解答到这里啦。如果不明白或者想了解的口腔知识请留言给我,我会尽快给出专业的解答。
指导专家
付东杰
武汉大学人民医院(湖北省人民医院)口腔医学中心 副主任医师

诊疗专长
各类种植牙修复,前牙美容修复,各类牙体缺损、牙列缺损和牙列缺失的固定和活动义齿修复。
学术任职与荣誉
中华口腔医学会会员,修复、种植、全科专业委员会会员。
科研成果
参与国家自然科学基金2项,湖北省自然科学基金1项,主持武汉大学自主基金1项,在国内、外学术期刊上发表论文11篇,其中SCI收录3篇。
来源:湖北省人民医院
湖北广电大健康发展中心