为什么牙医都爱让人去洗牙?
是为了多赚我们的钱吗?
为什么洗牙后牙缝好像变大了?
牙齿、牙龈还变得更敏感了?
虽然我们对洗牙都不陌生
但还是有很多误区和不解
今天就来全部说清楚


多数人没有掌握正确的刷牙方法
或者刷牙时间不够3分钟
导致很多部位清理不到位
尤其是牙缝、牙齿舌面、牙周袋(见下图)
时间久了会形成牙结石
引发牙龈出血、牙龈炎、牙周炎等
时间长了牙齿就会松动脱落

(洗牙后,牙结石被清理干净。作者供图)

再说了
牙齿表面的牙釉质非常坚硬
是人体最硬的部位
没那么容易受伤害

只要定期洗牙,消除牙周炎症
牙齿就不会松动,牙缝也不会变大
洗完牙觉得牙齿松了或难受
恰恰说明你洗晚了!
老不洗牙的人,牙周炎症较重
牙结石压迫导致牙龈萎缩、牙槽骨吸收
牙齿才会松动,牙缝也会一直陪着你

健康的牙齿本身不是纯白色,而是淡黄色
牙釉质是透明的
包裹着淡黄色的牙体
因此能透出牙体的颜色
洗牙能让牙齿看上去变白
是因为洗掉了喝茶和咖啡
吸烟等留下的色斑
但白成一道闪电是不可能的

(洗牙将烟斑清除干净。作者供图)

牙周炎较重的人会有敏感、不适症状
也可能会感觉疼痛
但这些人更需要定期洗牙
来预防牙龈萎缩和牙槽骨吸收
说句题外话,以前很多人都怕看牙
因为多数牙科治疗都很疼
现在这个问题解决了
你可以选择用笑气镇痛
看牙再也不怕疼了

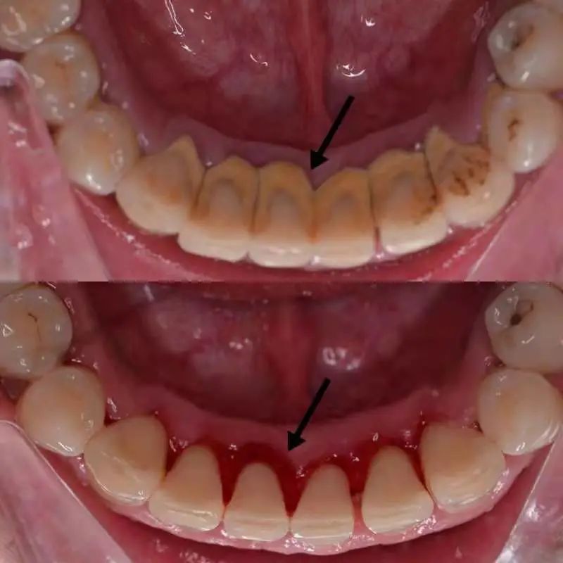
洗牙过程中有可能会出血
如果医生用的器械消毒不彻底
确实会导致细菌或病毒的交叉感染
感染乙肝、艾滋病等
传染病的概率可能增加
所以才建议你去正规医院口腔科洗牙

如果牙龈炎症较重、红肿
洗牙时可能会有明显的出血
但洗牙后很快就会缓解
不需要过分担心

(牙结石导致牙龈炎症较重,洗完牙后出血明显。作者供图)

建议养成定期去医院进行口腔检查
如果刷牙方法正确,口腔卫生保持较好
牙龈颜色正常,无出血和疼痛
可以参考医生的建议,放宽到1年洗牙一次

1.洗牙后几天,为什么牙齿遇到冷热酸甜会很敏感呢?
牙结石就像一层厚厚的“棉袄”,将牙齿牢牢包裹着,对外界的刺激也就麻木了。
而通过洗牙将牙结石去掉后,一开始牙齿暴露在久违的阳光下,遇到冷热酸甜刺激时难免会敏感。但在洗牙后的1~2周,症状会逐渐消失。

(来源:soogif)
2.哪些人群不适合洗牙?
装了心脏起搏器的人不能做超声洁治术[2]。但医生可以用手动洁治器来刮除牙结石,只是做起来比较费力费时。
这些人更要养成良好的口腔卫生习惯,正确刷牙,使用漱口水减少菌斑的聚集。一些新型起搏器不会受超声洁治术的干扰,也不影响洗牙。
有肝炎、肺结核、艾滋病等传染性疾病的人不宜使用超声洁牙,以免血液和病原菌随喷雾而污染诊室环境[2]。要在系统性治疗后,等疾病稳定才能洗牙。
同时提醒大家,如果医生要求你在洗牙前验血,千万别抵触。验血是为了查一下有没有艾滋病、乙肝、梅毒、结核等,以防交叉感染。血糖和凝血功能检查,能避免术后出血不止。
我们也想劝您一句:最好去正规的、会要求验血的医疗机构洗牙。
也欢迎转发这篇文章给家人、朋友,愿你们笑口常开!
来源:腾讯医典