与日俱增的不是银行卡里余额
可能是年龄
还有体检报告里的诊断结果


28岁的小赵(化名)拿到年初的体检报告时,简直不敢相信自己的眼睛,身体一直很好的他,CT报告上赫然写着“右肺上叶见小结节实变影,边界清晰,直径为4mm。”他怎么也想不通,自己这么年轻,生活作息规律,不抽烟不喝酒,怎么会有肺结节?一时开始疯狂上网检索“肺结节”各种信息。
65岁的老唐(化名)是一位老慢支患者,几年前胸部CT发现肺结节,当时CT报告显示:“右肺中叶亚实性结节,边界不规则,长径约6mm,建议6个月复查。”老唐很是心慌,担心自己得了肺癌?半年后复查,发现肺结节增大且变实了!长径约有8.5mm了。老唐的日子更难熬了,寝食难安。

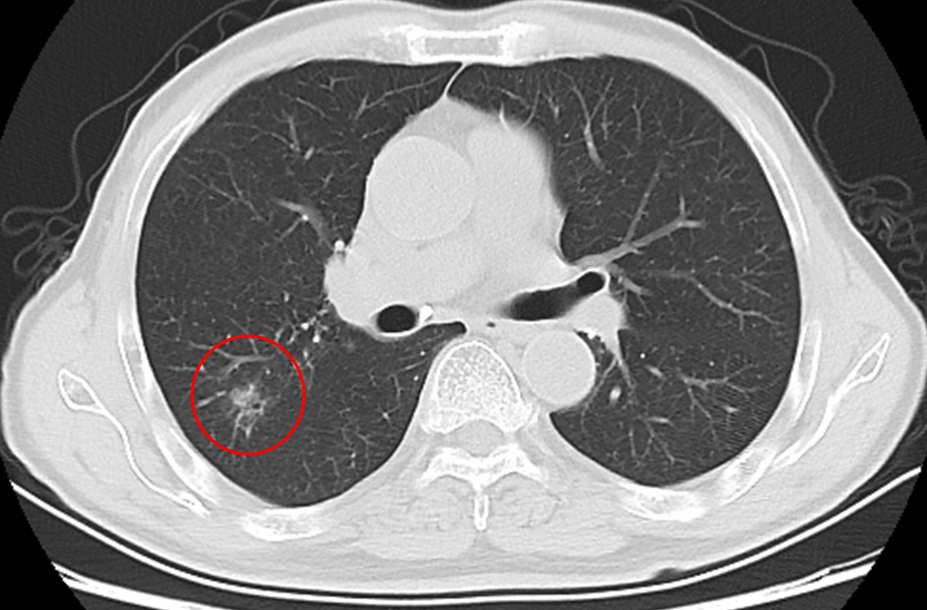
△胸部CT提示右肺上叶后段直径约18mm亚实性结节,边缘不规则
如今发现肺结节的人越来越多,或许你也有这些疑问,肺结节就是肺癌吗?到底需不需要治疗呢?我院肿瘤中心东院肿瘤科副主任王东东为大家解答。

肺结节恶性的概率有多大?
绝大多数肺结节是良性的。
从病理学角度看,肺结节可以是炎性结节,可以是肺内淋巴结,可以是肺泡内出血,可以是良性增生,当然也可能是恶性的。良性和恶性肺结节有其各自不同的组织形态学特点和生物学行为。如何判断良恶性?建议交给专业医生把关。
从影像学角度来看,如果不能明确是良性的,结节越大恶性的可能性越大;结节具有恶性征象,如有分叶、毛刺、胸膜牵拉、含气细支气管征和小泡征、偏心厚壁空洞等,倾向于恶性;随访过程中,结节增大或实性成分增多,倾向于恶性。
此外,基于肺结节本身特征,合并患有肺气肿、肺纤维化,有肺癌家族史、吸烟史或正在吸烟、接触二手烟史,年龄大等因素,恶性可能性更大。

查出肺结节需要治疗吗?
相信现在就有很多人跟小赵和老唐有着相同处境,那到底该不该治疗?如果治疗都有哪些方式呢?通过这两个真实病例,王东东副主任给出答案。
首先回顾一下小赵的CT报告,找关键词:“4mm实性小结节”“边缘清晰”“28岁”。结节没有任何恶性结节特点,年轻的小赵也没有恶性肿瘤病史,这个肺结节为恶性的概率近乎为零,不需要随访。
老唐的情况就没那么乐观了,同样找关键词:“亚实性结节”“边界不规则”“结节从6 mm增大到8.5 mm且变密实”,有老慢支病史,属于高危恶性肺结节。因此,需要从病理学明确老唐的肺结节是不是恶性。
“如何明确老唐的肺结节的病理性质呢?方法有很多种,手术切除,气管镜检查,经皮穿刺活检等都是安全可靠的方法。”

微创消融,精准消灭肺结节
根据老唐的情况,为其制定了经皮穿刺活检同步微波消融的诊治方案。通俗地说,就是局部麻醉后,在CT引导下采用同轴套管针(直径1.2mm)经皮精准穿刺肺结节,拔除针芯后,建立一个体表至肺结节的通路,再将活检枪经这个通路穿刺至肺结节获取组织病理。同样可以将微波消融针经这个通路穿刺至肺结节进行消融治疗,使其发生凝固性坏死。
最终老唐肺结节的穿刺病理结果为肺腺癌,至今已随访4年多了,腺癌结节灭活后成了瘢痕纤维灶。

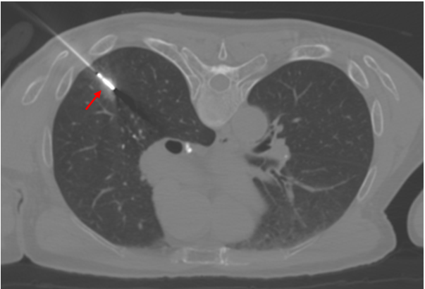
△患者术中采用俯卧位,CT引导下经皮穿刺活检同步微波消融

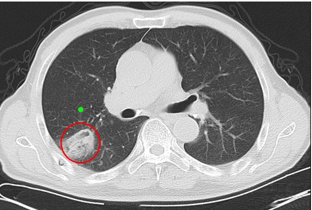
△消融后复查,箭头所指高密度为消融范围

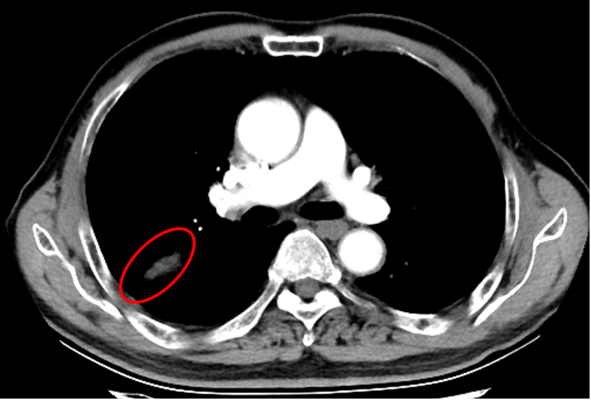
△胸部增强CT提示右肺无强化残存瘢痕灶

针对可疑恶性肺结节
该技术有哪些优势?
>01
创伤小。一次穿刺不但可以获得肺结节的病理诊断,还能同步灭活病变;
>02
恢复快,住院时间短。通常术后第2天即可下床活动,从入院到出院通常3~5天即可;
>03
疗效确切,可以根治性灭活病变,消除后顾之忧;
>04
安全可靠。不良反应及并发症发生概率低;
>05
适应证广。可一次处理多个肺结节,对于因心肺功能差不能或不愿接受肺结节手术切除的患者提供了新的诊疗方式。
对于医生建议随访的肺结节,应按照随访要求定期到同一家医院复查,这样有利于对肺结节的形态改变从更多细节上做出详尽判断。

预防肺结节,做好这几点
▷首先应该戒烟,避免接触二手烟、污浊空气、石棉、砷、镉、铬、煤烟等;
▷多锻炼,提高身体免疫力,保持良好的心态和生活习惯;
▷均衡饮食,保证优质蛋白及蔬菜水果摄入等。
来源:青岛市市立医院
湖北广电大健康发展中心