红枣是我们生活中很常见的一种食物,它富含维生素,有着“天然维生素丸”的美誉,它不仅物美价廉,还具有补中益气、健脾养胃、安神养血、滋补强身等功效。红枣作为滋补佳品,素有“日食三枣,长生不老”之说。

可在这里要提醒大家的是,食用红枣时得小心,稍有大意也可能危及生命。
刚过完年,浙大二院城东院区综合ICU就收治了一位因为“吃枣”吃出麻烦的老太太。
老太太平时身体很好,做起家务活来非常麻利。三天前的午后,老太太出现有下腹部阵发性绞痛,同时伴随有呕吐、腹泻、畏寒、发热。当时没有特别重视,以为是吃坏了什么东西,过几天就自然好了。直到一天前,症状愈发危重,去到当地医院就诊,一查CT,情况不妙——大肠破了,但是什么原因导致的不得而知。医生告知家属病情加重,随时有生命危险,而此时老太太精神状态也变得疲软,心跳血压也明显升高,商量后立刻转至浙大二院。
经过ICU的接诊医生徐鹏一轮查体后,快速判断老太太有休克征兆,目前结肠穿孔原因不明。肠道里面含有大量的消化液以及大量的细菌,穿孔后通过破裂的口子进入腹腔并在里面繁殖;腹腔里面出现大量脓液之后,引发弥漫性腹膜炎,炎症刺激会引起不能忍受的剧烈绞痛,还会伴随有恶心呕吐,寒战高热,严重可导致休克和死亡。
病情危急,徐鹏在汇报综合ICU黄曼主任后,立马下达了医嘱,快速补液,控制感染,维持生命体征稳定的同时,抽取急诊相关化验指标,并联系大肠外科焦裕荣医师会诊。
老太太被送入手术室,在急诊全麻下行腹腔镜剖腹探查手术,大肠外科李军主任医师通过精湛的技术,找到了导致肠穿孔的罪魁祸首——一颗小小的枣核。

都是红枣惹的祸
手术中,李主任发现穿孔位于乙状结肠下段,距离直肠肛门很近,在穿孔部位以上部分节段肠管已经出现缺血坏死,穿孔处周围有积液,并有腹膜炎症表现。手术进行约2小时,切除了穿孔及缺血段肠管,并放置了两根腹腔引流管引流炎症性腹腔积液,术后安返ICU,转危为安。
老太太平时饮食规律健康,晚餐喜欢喝点粥,放几颗红枣补气养血。可就在这天,不小心将一颗小小的枣核吞进了肚子,也有了后来的救医经过。
// 带核带尖带刺的食物需小心吃 //
在医院急诊经常有枣核穿破胃十二指肠、鱼刺卡喉、鱼刺刺穿食管、杨梅核引发肠梗阻的病人前来就医,但误吞的枣核顺利通过管腔较细的食管和小肠,刺破乙状结肠的病例还是少数。




左上:鱼刺刺破食管左侧壁,紧贴主动脉
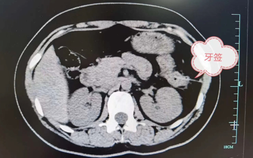
右上:误吞牙签刺破胃壁
左下:吞入大量杨梅核引发肠梗阻
右下:吞入大量奶茶珍珠引起胃肠梗阻
我们人体上消化道
除了口与咽部交界的地方略狭窄外
还有两处生理性狭窄
一是食管与左主支气管交汇处
二是食管穿过膈的食管裂孔处
食管壁很薄
很容易受损
很容易异物残留
可造成局部及相邻器官感染
引发食管脓肿 食管穿孔
大血管腐蚀破裂 纵隔脓肿
若是刺破了食管
甚至会侵犯了周围的主动脉
引起大出血危及生命
如果顺利通过食管
进入胃内
为了消化食物
胃会不断地蠕动
此时尖硬的食物可能会造成消化道损伤
也有一定可能发生胃穿孔
一旦发生了
意味着胃内容物
包括消化液 食物等都有可能流入腹腔
从而造成化学性或者细菌性腹膜炎
甚至引发脓毒性休克
如果不及时抢救也可以危及生命

如果幸运
它通过了胃这个关卡
会进入小肠
由于健康人的肠管不仅具有很好的弹性
也有着强大的蠕动功能
因此其在肠道内大多可以自由通行
但偶尔也会扎到肠壁
有损伤和嵌顿的风险
若不幸造成了肠梗阻
就会出现腹痛 恶心 呕吐 排便困难的情况

在排便过程中
尖硬的食物也可能划到乙状结肠 肛管黏膜
引发穿孔 感染 出血等
也可能毙命
我们在生活中对带核带尖带刺的食物,比如枣核、鱼刺、杨梅核、虾皮等,都要多加注意,特别是给孩子和老人吃的时候,尽量先把硬核、刺给取出,这样才能万无一失,如果不小心吃到了肚子里面,一定要及时就医,不要等到腹痛难忍的时候再去,那样病情就恶化了。

来源:浙大二院